Causes-Prevention of Pyorrhoea: दांतों को स्वस्थ रखना चाहते है, तो नियमित देखभाल और साफ-सफाई करना बेहद जरूरी है। अगर आप ये सब नहीं करते तो पायरिया जैसी समस्याओं का सामना करना पड़ सकता हैं। पायरिया, जिसे गैंग्रीन या पैरीओडोंटल डिजीज भी कहा जाता है, यह एक गंभीर स्थिति हो सकती है यदि इसे समय रहते ठीक न किया जाए। पायरिया दांतों के नीचे और मसूड़ों के बीच बैक्टीरिया के जमा होने के कारण उत्पन्न होता है, जो धीरे-धीरे मसूड़ों और हड्डियों को नुकसान पहुंचाता है। पायरिया या पीरियोडोंटाइटिस मसूड़ों का गंभीर संक्रमण है, जो लोगों के बीच काफी सामान्य है। दुनिया में 90 प्रतिशत लोग पायरिया से जूझ रहे हैं।
Causes-Prevention of Pyorrhoea: क्या है पायरिया ?
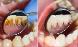
पायरिया या पीरियोडोंटाइटिस, मसूड़ों की एक बीमारी है। यह मसूड़ों की सूजन से जुड़ी होती है। यह एक गंभीर बीमारी है और वयस्कों में दांतों के झड़ने का एक मुख्य कारण है। यह अक्सर मसूड़ों में सूजन, मसूड़ों से खून आना, सांसों में बदबू आना, दांत ढीले होना, गले में खराश ये पायरिया के लक्षण हैं। आमतौर पर दांतों की सफाई में लापरवाही के कारण होता है, जिससे बैक्टीरिया मसूड़ों में जमा हो जाते हैं और संक्रमण का कारण बनते हैं।

Causes-Prevention of Pyorrhoea: पायरिया के कारण…
1. दांतों की सफाई के दौरान बैक्टीरिया मसूड़ों के बीच जमा हो सकते हैं। यदि समय-समय पर दांतों की सफाई न की जाए, तो प्लाक और टार्टर जमा होने लगते हैं, जिससे पायरिया हो सकता है।
2.तंबाकू का सेवन पायरिया के विकास में एक प्रमुख भूमिका निभाता है। तंबाकू मसूड़ों की सेहत को प्रभावित करता है, जिससे संक्रमण का खतरा बढ़ जाता है।
3.हार्मोनल बदलाव गर्भावस्था, मेनोपॉज, और अन्य हार्मोनल बदलाव भी मसूड़ों को प्रभावित कर सकते हैं और पायरिया के जोखिम को बढ़ा सकते हैं।
4.जिन लोगों को मधुमेह है, उनका शरीर संक्रमण से लड़ने में कम सक्षम होता है। इस कारण पायरिया के होने का खतरा अधिक होता है।
5.कुछ दवाइयां, जैसे कि ब्यूटा-प्रेशर की दवाइयां और इम्यून-सप्रेसेंट्स, मसूड़ों में सूजन का कारण बन सकती हैं, जिससे पायरिया होने का खतरा बढ़ जाता है।
6.हृदय रोग, मानसिक तनाव और कुछ अन्य स्वास्थ्य समस्याएं भी पायरिया के कारण बन सकती हैं।
7.विटामिन C की कमी और अस्वस्थ आहार भी मसूड़ों की सेहत को प्रभावित कर सकते हैं, जिससे पायरिया हो सकता है।

Causes-Prevention of Pyorrhoea: पायरिया के लक्षण..
1. मसूड़े सामान्य से अधिक लाल और सूजे हुए दिखाई देते हैं। यह सूजन दर्दनाक हो सकती है।
2. ब्रश करने या फ्लॉसिंग के दौरान मसूड़ों से खून आना पायरिया का एक सामान्य लक्षण है।
3. पायरिया के कारण दांतों में हल्का दर्द या संवेदनशीलता हो सकती है।
4. संक्रमित मसूड़ों से बदबूदार गंध आ सकती है, जिसे खराब मुंह की गंध कहा जाता है।
5. अगर पायरिया गंभीर हो जाता है, तो दांतों की जड़ें ढीली हो सकती हैं और दांत गिर सकते हैं।
6. गंभीर पायरिया में मसूड़ों से मवाद भी निकल सकता है, जो संक्रमण का संकेत है।
Causes-Prevention of Pyorrhoea: पायरिया को ठीक करने के उपाय…
दांतों की सफाई
1.पायरिया के उपचार के लिए सबसे पहले दांतों की सही तरह से सफाई करना आवश्यक है।
2.दिन में कम से कम दो बार दांतों को अच्छी तरह से ब्रश करें। फ्लोराइड युक्त टूथपेस्ट का उपयोग करें और दांतों के सभी हिस्सों को साफ करें।
3.फ्लॉसिंग से दांतों के बीच के हिस्से भी साफ होते हैं, जहां ब्रश नहीं पहुंच सकता। यह बैक्टीरिया को दूर करने में मदद करता है और मसूड़ों की स्वच्छता बनाए रखता है।
नियमित दंत चिकित्सक की जांच
1.अगर पायरिया गंभीर हो जाए, तो दंत चिकित्सक से मिलकर उचित उपचार कराना आवश्यक है।
2.स्केलिंग और रूट प्लानिंग: यह एक प्रक्रिया है जिसमें दांतों और मसूड़ों से प्लाक और टार्टर को हटाया जाता है। यह मसूड़ों की सूजन और संक्रमण को कम करने में मदद करता है।
3. दवाइयों का सेवन: दंत चिकित्सक एंटीबायोटिक्स या एंटीबैक्टीरियल माउथवॉश भी लिख सकते हैं, जो संक्रमण को दूर करने में मदद करते हैं।

पानी से कुल्ला करना
गर्म नमक पानी से कुल्ला करने से मसूड़ों की सूजन को कम करने में मदद मिल सकती है और यह संक्रमण को भी कम कर सकता है। यह एक प्रभावी घरेलू उपाय है जिसे दिन में दो से तीन बार किया जा सकता है।
तंबाकू और शराब से बचें
तंबाकू और शराब का सेवन पायरिया को बढ़ा सकता है। इन दोनों से मसूड़ों में सूजन और संक्रमण होने का खतरा बढ़ जाता है। इसलिए, इनसे बचना या इनकी मात्रा को कम करना पायरिया के इलाज में मदद करता है।
स्वस्थ आहार
विटामिन C और कैल्शियम से भरपूर आहार मसूड़ों की सेहत को बेहतर बनाता है। ताजे फल, हरी सब्जियां, और डेयरी उत्पादों को आहार में शामिल करना पायरिया को रोकने में सहायक हो सकता है।
घरेलू उपचार
1. हल्दी में एंटीबैक्टीरियल गुण होते हैं। इसे नमक के साथ मिलाकर मसूड़ों पर लगाने से पायरिया में राहत मिल सकती है।
2. नीम के पत्ते और इसकी पत्तियों का अर्क भी पायरिया से लड़ने में मदद कर सकते हैं, क्योंकि इनमें एंटीसेप्टिक गुण होते हैं।

Causes-Prevention of Pyorrhoea: Conclusion निष्कर्ष
पायरिया एक सामान्य समस्या है, अगर आप इसे नजरअंदाज करते है तो ये आपको भारी पड़ सकता है। इसकी वजह से दांतों और मसूड़ों में सूजन और दांत भी गिर सकते हैं। इसलिए पायरिया होने पर तुरंत डॉक्टर से परामर्श करे और दांतों की सफाई, सही आहार, दंत चिकित्सक की जांच और कुछ घरेलू उपायों से आप इस समस्या को ठीक कर सकते हैं।
